Kịp thời can thiệp cứu sống bệnh nhân bị nhồi máu cơ tim cấp
Một bệnh nhân bị nhồi máu cơ tim cấp, nhập viện trong tình trạng ngừng tim, ngừng tuần hoàn đã được các bác sĩ BVĐK tỉnh Hà Tĩnh cấp cứu, can thiệp tái thông mạch vành thành công ngay trong “khung giờ vàng” của nhồi máu cơ tim.
Ngày 23/12, bệnh nhân Lê Văn Đ. (67 tuổi, trú xã Lộc Hà, tỉnh Hà Tĩnh) xuất hiện tình trạng đau tức ngực trái, khó thở, mệt, được gia đình đưa vào Khoa Cấp cứu chống độc (BVĐK tỉnh Hà Tĩnh). Khi vừa đến sảnh của khoa, bệnh nhân đột ngột ngừng tim, ngừng tuần hoàn. Ngay lập tức, các bác sỹ đã tiến hành cấp cứu ngừng tuần hoàn theo phác đồ, sau 5 phút cấp cứu tích cực, nhịp tim và mạch trở lại. Được biết, trước đó 5 ngày, bệnh nhân đã xuất hiện tình trạng đau ngực âm ỉ nhưng không đi khám.

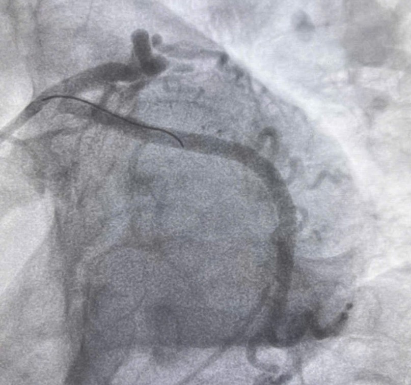
Hình ảnh động mạch vành của bệnh nhân sau đặt stent.
Bác sĩ Khoa Cấp cứu chống độc đã liên hệ hội chẩn Khoa Nội tim mạch, kết luận bệnh nhân bị nhồi máu cơ tim cấp vùng sau dưới và được chụp động mạch vành cấp cứu. Kết quả cho thấy bệnh nhân hẹp khít kèm huyết khối động mạch mũ (1 trong 3 nhánh động mạch vành) nên dẫn tới nhồi máu cơ tim vùng sau dưới. Sau khi đặt stent cho bệnh nhân, động mạch mũ được thông tốt. Sau 4 ngày điều trị, bệnh nhân đã tỉnh táo, huyết động ổn định, tình trạng đau ngực không còn, có thể xuất viện trong vài ngày tới.

Bác sỹ Đinh Sỹ Thanh kiểm tra sức khỏe cho bệnh nhân Đ. tại Khoa Nội tim mạch.
BSCKI. Đinh Sỹ Thanh - Khoa Nội tim mạch cho biết: “Giờ vàng” của nhồi máu cơ tim là 6 giờ đầu kể từ khi xuất hiện triệu chứng. Đây là thời điểm quan trọng nhất để can thiệp và điều trị, giúp phục hồi tốt cơ tim tổn thương và giảm nguy cơ tử vong. Thành công của ca can thiệp tim mạch, kịp thời cứu sống người bệnh trong “khung giờ vàng” với sự phối hợp nhịp nhàng giữa Khoa Cấp cứu chống độc và Khoa Nội tim mạch là minh chứng cho hiệu quả của quy trình “báo động đỏ” nội viện.
Để giảm nguy cơ tắc mạch vành, nhồi máu cơ tim, người dân cần có chế độ ăn uống hợp lý, tránh ăn mỡ và nội tạng động vật, ăn đủ rau quả, từ bỏ thói quen hút thuốc lá, thuốc lào, không lạm dụng rượu bia, tập thể dục đều đặn, giữ cân nặng hợp lý, tránh căng thẳng tâm lý, điều trị tốt các bệnh lý nếu có như tăng huyết áp, đái tháo đường, rối loạn mỡ máu… Ngoài ra, người dân cần chú trọng khám sức khỏe định kỳ đều đặn cũng như khám chuyên khoa tim mạch khi có các triệu chứng bất thường để phát hiện và điều trị sớm bệnh lý động mạch vành, giúp phòng ngừa nhồi máu cơ tim và các biến chứng, bác sỹ Thanh khuyến cáo.
Tuấn Dũng

